一例右眼视力下降半年合并糖尿病、高血压患者,如何个性化诊治?

 

images/23/2022/12/T6jRt3Hl46lj5Bezy55tbB4e5m396j.jpg

马上开始

基础情况


首诊时间:2020年2月6日

姓名:STDP

性别:

年龄:54岁

主诉:右眼视力下降半年。

现病半年前无明显诱因右眼视力下降,无眼红、眼痛、畏光流泪等不适,到医院就诊,诊断“右眼视网膜静脉阻塞,黄斑水肿”,病初2月曾服中药治疗(具体不详),无好转后在外院行2次抗VEGF治疗(雷珠单抗),治疗后视力有好转20天左右视力又下降如初,自觉恢复不理想,现为进一步治疗来我科就诊,近来饮食睡眠可,二便正常,体重无改变。

史:有高血压病史5年,血压基本稳定,控制在130-150/80-90mmHG。糖尿病史1年,血糖药物控制,糖化血红蛋白6.2。


检查


▌眼部常规检查:

OD

OS

视力

0.2

1.0

角膜

前房

中深

中深

瞳孔

圆,2.5mm

圆,2.5mm

晶体

C1N2P1

C1N2P1

眼压

12mmHG

14mmHG


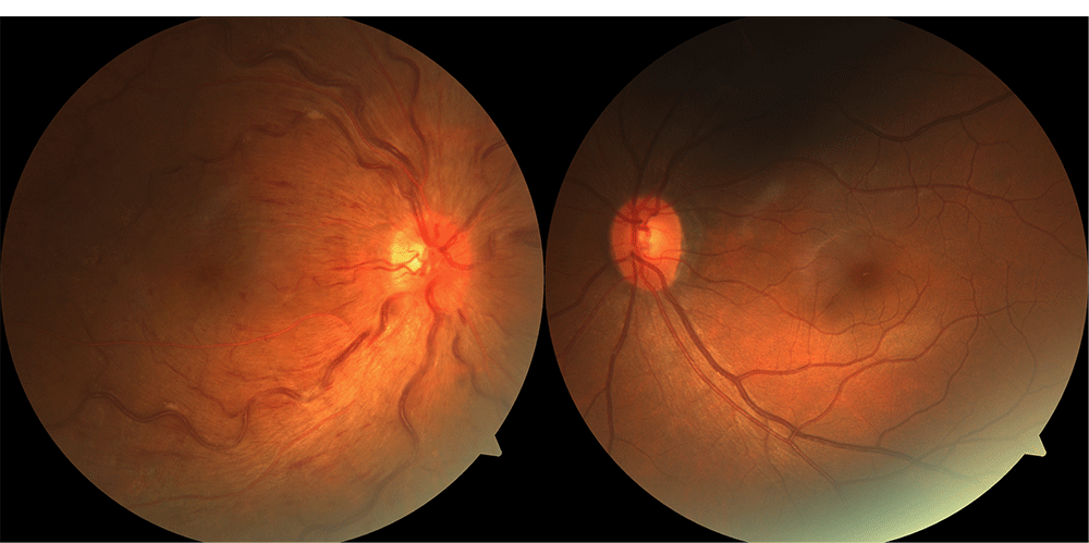
▌眼底照相:

右眼见全视网膜陈旧性火焰状出血,静脉扩张迂曲,动脉变细。左眼眼底彩照未见明显异常。


▌B超:

右眼轴长21.9mm,晶状体厚4.0mm,玻璃体内可见细条状低回声光带漂浮,眼底未显示视网膜脱离。球后未显示异常团块。

右视网膜中央动脉峰值流速9.9cm/s,RI:0.67。

左眼轴长22.2mm,晶状体厚3.7mm,玻璃体内可见细条状低回声光带漂浮,眼底未显示视网膜脱离。球后未显示异常团块。

左视网膜中央动脉峰值流速11.3cm/s,RI:0.62。


▌OCT:

右眼底视网膜弥漫性增厚,黄斑囊样水肿,视网膜下可见积液

基于上述病史,您的诊断包括:(多选)
注:本题可选择多个选项!
双眼白内障
双眼糖尿病视网膜病变
双眼高血压性视网膜病变
右眼视网膜中央静脉阻塞
右眼黄斑囊样水肿
右眼视网膜血管炎
下一步
上一步

1

解析


• 病例特点:患者为中年男性,有高血压、糖尿病基础疾病史;右眼视力下降半年,曾用中药治疗、2次抗VEGF治疗;右眼基线视力为0.2,右眼眼底检查见视盘边界模糊,视网膜动脉硬化,静脉迂曲扩张。OCT示右眼黄斑囊样水肿明显,隆起高,结果提示视网膜中央静脉阻塞(CRVO);结合患者病史及眼科检查,考虑右眼视力下降原因是视网膜中央静脉阻塞导致的黄斑囊样水肿(CME),而非糖尿病性视网膜病变所致。


• 诊断:

右眼黄斑囊样水肿

右眼视网膜中央静脉阻塞

双眼白内障


• 鉴别诊断:

糖尿病视网膜病变(DR):是慢性进行性糖尿病导致的视网膜微血管渗漏和阻塞从而引起一系列的眼底病变,如微血管瘤、硬性渗出、棉絮斑、新生血管、玻璃体增殖、黄斑水肿甚至视网膜脱离。DR以是否有从视网膜发出的异常新生血管作为判断标准,可分为增殖性糖尿病视网膜病变和非增殖性糖尿病视网膜病变。眼底镜检查,或眼底彩色照相检查就可以确诊。

高血压性视网膜病变:恶性高血压性视网膜病变眼底检查可见视乳头及其周围视网膜明显水肿,边缘模糊。小动脉很细、变直,部分成白线,静脉弯曲扩张。整个视网膜苍白、混浊、水肿、火焰状和大片出血。慢性高血压性视网膜病变眼底检查可见视网膜动脉由初期的痉挛状态变为硬化、狭窄、管壁光反射增强,呈铜丝或银丝状,动、静脉交叉压迫现象,随之远端的静脉和毛细血管扩张,视网膜水肿、出血和渗出。眼底荧光造影检查可见视盘毛细血管扩张迂曲,并有微血管瘤形成,晚期有荧光素渗漏,视网膜毛细血管有大量荧光素渗漏,相当于棉絮斑区域的毛细血管闭塞,形成小的无灌注区,其周围的毛细血管扩张,有微血管瘤形成,并有荧光素渗漏,相当于Elschnig斑处脉络膜毛细血管呈现低灌注或无灌注,晚期有荧光素渗漏,动脉细窄,静脉充盈迂曲。

视网膜血管炎:典型地表现为眼底灰白色血管鞘、渗出、出血、视网膜水肿等改变,仅侵犯动脉或静脉较少见。多数是两者均受累。常伴有视网膜血管炎的眼部或系统性疾病有:中间型葡萄膜炎、病毒性视网膜炎、系统性红斑狼疮、多发性大动脉炎、结节病等。


庄岩,戴荣平,陈有信.  双眼霜枝样视网膜血管炎一例.《Wan Fang》, 2009.

卢百阳,武志峰. 糖尿病视网膜病变发病机制研究进展.《CNKI》 ,2008

面对这类CME患者,您的首选治疗方案是(单选)
注:本题最多能选择1个选项!
抗VEGF联合激光治疗
激光治疗
全身疾病管理(控制三高等)
抗VEGF治疗
眼内激素使用
上一步
下一步
上一步

1


解析


患者诊断CRVO继发CME明确,目前急需解决的问题为:

① 提高右眼视力;

② 消退右眼黄斑囊样水肿(CME);

③ 警惕和预防并发症的发生。

各大指南推荐:抗VEGF治疗是RVO-ME的一线治疗,视功能的提升与维持、黄斑水肿的发现与治疗、以及视力相关生活品质的提升与维持,是RVO-ME患者治疗关键的结局指标;而激素治疗退居二线,激光治疗作为补充。

因此,选择抗VEGF治疗作为该患者治疗的首选方案

RVO是一种常见的高致盲性视网膜血管疾病,其中,RVO继发黄斑水肿是严重影响患者视力的主要并发症。尽管RVO致病机制复杂,但VEGF和炎症因子的过度表达,被认为在RVO的发生发展中起着重要作用。研究发现,VEGF-A、PlGF是血管渗漏、黄斑水肿的关键因子,其表达水平与黄斑水肿严重程度和视网膜缺血程度存在相关性,而视网膜缺血又进一步引起炎症因子表达增加,反过来加重视网膜缺血。从RVO发病机制推论,单纯抗VEGF-A治疗,难以获得最佳临床疗效。

因此,建议患者使用融合蛋白类、多靶点的抗VEGF药物治疗较佳。但是该患者由于医保限制情况,最后选择了雷珠单抗治疗


Wong TY, Scott IU. Clinical practice. Retinal-vein occlusion. N Engl J Med 2010; 363(22):2135- 2144

Philip Hykin, Sobha Sivaprasad, Winfried Amoaku, et al. Retinal Vein Occlusion (RVO) Guidelines

Noma H, et al. Invest Ophthalmol Vis Sci. 2014 Jun 3;55(6): 3878-85

Berger AR, et al. Ophthalmologica. 2015;234(1)


▌各大指南一致推荐:抗VEGF药物作为RVO-ME的一线治疗



Retinal Vein Occlusions Preferred Practice Pattern.

Schmidt-Erfurth U,et al.Ophthalmologica. 2019;242(3):123-162.

Berger AR, et al. Ophthalmologica. 2015;234(1).

Philip Hykin, Sobha Sivaprasad, Winfried Amoaku,et al. Retinal Vein Occlusion (RVO) Guidelines.


▌VEGF/炎症因子在RVO发生、发展中发挥多重生物作用


VEGF-A、PlGF是血管渗漏、黄斑水肿的关键因子;

RVO患者房水VEGF-A、PlGF水平显著上调,且VEGF-A、PlGF水平与黄斑水肿严重度和视网膜缺血程度存在相关性;

静脉阻塞后视网膜缺血引起炎症因子表达增加,导致白细胞趋化粘附于血管内皮,局部血流速度降低,加重视网膜缺血,形成正反馈环,加剧视网膜缺氧。



Philip Hykin, Sobha Sivaprasad, Winfried Amoaku,et al. Retinal Vein Occlusion (RVO) Guidelines.

Noma H, et al. Invest Ophthalmol Vis Sci. 2014 Jun 3;55(6): 3878-85.

Berger AR, et al. Ophthalmologica. 2015;234(1).


本例患者治疗经过


• 2020年2月11日:行右眼抗VEGF治疗(雷珠单抗)


第1次随诊/复查


第1次抗VEGF治疗后13天,2020年2月25日

自觉视力有提高

视力:VOD 0.8

眼压:15mmHg

嘱其1个月后复查


第2次随诊/复查


第1次抗VEGF治疗后26天,2020年3月8日

视力下降

视力:VOD 0.2

眼压:15mmHg

行右眼第2次抗VEGF治疗(雷珠单抗)


第3次随诊/复查


第2次抗VEGF治疗后25天,2020年5月4日

视力下降

视力:VOD 0.2

眼压:14mmHg

行右眼第3次抗VEGF治疗(雷珠单抗)


雷珠单抗10次注射CRT趋势


2020.2.6-11.24共注射雷珠单抗10针,每次注射后CRT均有不同程度消退,但每次25天左右即复发至800-1000um,视力则在小数视力0.8-0.1之间波动,末次随访视力为0.2。

整体趋势来看患者CRVO-ME治疗效果在下降



调整治疗方案


• 2020年9月6日:外院行FFA造影提示右眼视网膜无灌注区以及多处荧光渗漏(资料缺)。行全视网膜激光光凝治疗。


• 2020年11月16日:患者频繁多次复发,再次在本院复查FFA,结果显示仍有多处视网膜无灌注区以及多处荧光渗漏,伴视网膜静脉壁荧光着染及渗漏,考虑有炎症因素存在


• 2020年12月8月:补打视网膜激光,球旁注射TA10mg


• 2020年12月22月:

患者情况】:ME复发时间并没有缩短,基本在25天左右。

治疗】:为延长治疗间隔,和患者详细建议后决定更换抗VEGF药物为:康柏西普(朗沐®)


康柏西普作为全新一代多靶点融合蛋白,独有D4结构域,与单抗大不同:

靶点升级——同时拮抗VEGF-A与PlGF,还能下调白介素等多种炎症因子水平,更强抗炎、抗渗漏。

速度升级——更快起效。在一项回顾性分析中,玻璃体内注射0.5mg康柏西普,结果显示术后1天快速起效,患者视力较基线提升了0.13 log MAR,CMT较基线显著降低163.37μm。

疗效升级——强效持久,更佳视力获益,更少注射针数。多项真实世界研究和Meta分析证实朗沐® 治疗RVO所需注射次数更少,有利于提升患者提从性、减轻患者负担。更重要的是,在疫情常态化的情况下,更长的作用时间,对患者预后以及随访的便利性都有重要的意义。


疗程建议】:从个人经验来谈,建议该患者第一年注射康柏西普9到12针比较合适,第二年注射6针左右,后续逐年减少。



Van Bergen T, et al. Prog Retin Eye Res. 2019 Mar;69:116-136.

Yang KB, et al. Retina. 2021 Apr 1;41(4):834-843

李霞, 等. 中华眼外伤职业眼病杂志, 2020, 42(11):4

连海燕,等.中华眼底病杂志,志2016年7月第32卷第4期:367-371

Liu W, et al. Medicine, 2020, 99(21):e20222


▌康柏西普同时拮抗VEGF-A与PIGF,更强抗炎抗渗漏


回顾性、非随机、干预性病例系列研究,纳入49只CRVO继发黄斑水肿的患眼,对照组为白内障患者。每月一次IVC 0.5mg/0.05ml,注射3个月,每次注射时提取房水样本进行因子检测。



康柏西普可显著降低患者房水中VEGF-A和PlGF水平

康柏西普可能通过抑制VEGFR-2的信号表达而降低炎性因子水平

康柏西普还可以中和PlGF从而抑制CRVO患者的炎症反应


Yang KB, et al. Retina. 2021 Apr 1;41(4):834-843.


▌康柏西普术后1天,快速提升患者视力、改善解剖结构



李霞, 等. 中华眼外伤职业眼病杂志, 2020, 42(11):4


▌康柏西普强效改善RVO患者视力


BRAVE研究中,BRVO患者每月使用康柏西普注射3个月后,平均最佳矫正视力提升15.3个字母;

CRAVE研究中,CRVO患者每月使用康柏西普注射3个月后,平均最佳矫正视力提升11.7个字母。

朗沐®III期临床试验结果全面优于单抗类药物亚洲人群数据,充分证实朗沐®是中国RVO患者更佳视力获益的优选。



随诊/复查


第1次随诊/复查


治疗后51天,2021年2月15日

视力下降

视力:VOD 0.2

眼压:15mmHg

行右眼第2次抗VEGF治疗


第2次随诊/复查


治疗后57天,2021年4月13日

视力下降

视力:VOD 0.25

眼压:12mmHg

行右眼第3次抗VEGF治疗


康柏西普17次注射CRT趋势


2020.12.21-2022.8.17共注射康柏西普17针,每次注射后CRT均有不同程度下降,间隔35-55天左右,复发CRT596-687um,小数视力在0.8-0.2之间波动,末次随访视力为0.8。整体CRVO-ME呈现良好的趋势



最近一次随诊/复查


距离上次注药35天,2022.9.21

视力稳定

视力:VOS 0.8

眼压:14mmHg

继续随访


治疗体会


• 病例特点:

① 中年男性,病程长,早期治疗不规范,有高血压、糖尿病等全身疾病史。

② 发病初期中药治疗,发病2月后在外院行2次雷珠单抗治疗后又中断治疗3月。

③ 在我院就诊后规范使用雷珠单抗治疗10余针,期间FFA造影提示无灌注区及血管壁渗漏予以视网膜激光光凝和球旁注射TA,但是复发周期仍然很短,基本维持在22天至25天之间。


• 治疗需求:希望能延长治疗间隔。


• 方案优势及适用范围:换用融合蛋白类药物康柏西普治疗,靶点多,效果明显,药物作用时间长,能维持在35天至55天之间。康柏西普(朗沐®):多靶点,全面抑制VEGF-A和PlGF;全面满足视力提升、结构改善,更少注射的治疗目标。


• 其他:

① RVO患者伴黄斑水肿,建议首选抗VEGF为一线治疗;

② 单抗类药物治疗后疗效欠佳时,即可建议患者更换为融合蛋白类药物康柏西普抗VEGF治疗,激素为二线药物;

③ 关于患者管理,血压血糖需控制稳定,规律随访观察很重要。



本病例CRVO患者单抗类药物连续治疗后,视力有提升,黄斑水肿有缓解,但黄斑水肿复发时间很短,此时更换为康柏西普玻璃体腔注射治疗的原因出于以下哪些考虑?(多选)
注:本题可选择多个选项!
康柏西普可全面抑制VEGF-A和PlGF
RVO伴黄斑水肿,单抗类药物治疗后无效即可考虑更换为融合蛋白类药物康柏西普抗VEGF治疗更佳
康柏西普治疗RVO,可快速提升视力、消除水肿,改善解剖结构,改善预后
康柏西普多靶点,独有D4结构域,可协同抗炎
上一步
下一步
  • 眼科    主任医师/教授
    丹阳市第三人民医院
    2023-04-19 16:30
    优质话题,参与讨论得积分!
    治疗过程中如何有效沟通,增加患者的医从性,坚持治疗?
    回复
  • 眼底外    主任医师/教授
    济宁医学院附属医院
    2023-04-22 16:18

    优质解答

    根据疾病特点和现实中的实际病例实事求是的向患者说明疾病的病程演变、并发症危害和最佳治疗措施和药物选择,获得患者的理解和信任。
    评论
  • 眼科    主治医师
    衡水爱尔眼科医院
    2023-04-19 19:43

    优质解答

    开始治疗时就要告诉患者需要一个月打一针,三针或者五针起,如果不按这个要求,水肿会反复。这个治疗是经过很多临床实践得出来的
    评论
  • 眼底内    医师
    贵黔国际总医院
    2023-04-19 17:38
    优质话题,参与讨论得积分!
    反复发作黄斑水肿,抗新生血管治疗效果不理想都建议换激素?
    回复
  • 眼底外    主任医师/教授
    济宁医学院附属医院
    2023-04-22 16:22

    优质解答

    黄斑水肿反复发作是疾病的特点之一,一般不归结为抗新生血管药物效果不理想,即便注射激素或者联合使用激素也会存在复发的问题,经过一定的病程后,黄斑水肿的复发频率会缩短,这符合ME发病的一般规律。
    评论
  • 眼底外    副主任医师/副教授
    濮阳市眼科医院
    2023-04-19 18:18

    优质解答

    黄斑水肿是一个非常容易反复的疾病,治疗需要多个方面综合治疗,控制全身血压血脂血糖情况 局部需要及时补充激光等,单纯抗vegf效果不理想的情况下可以考虑微脉冲的治疗,一部分病人微脉冲治疗还是有不错的效果的。当然应用激素治疗也是可以的,主要是注意继发青光眼和并发白内障的问题。有点病人抗vegf应用后水肿消退视力不提高的情况,需要考虑有无黄斑缺血的情况。谢谢
    评论
  • 眼底外    医师
    包头朝聚眼科
    2023-04-19 16:03
    优质话题,参与讨论得积分!
    什么时候行FFA,及联合激光治疗时机,需行口服药物联合治疗多久
    回复
  • 眼底外    主任医师/教授
    济宁医学院附属医院
    2023-04-22 16:27

    优质解答

    没有特殊情况,建议初诊时即可FFA造影,存在大片无灌注区(一般大于5PD,有专家认为10PD,但一些发生玻璃体积血的病例中术中发现较小的无灌注区也可引起较大的增殖和新生血管膜)即可激光且不可错过时机。指南上都没有提到口服药物的问题,不作为治疗选项。
    评论
  • 眼科    主治医师
    衡水爱尔眼科医院
    2023-04-19 19:45

    优质解答

    如果是几天的静阻,我会考虑一个月左右再造影,看看无灌注区情况,是否需要联合激光,以后三个月复查一次造影。激光治疗现在我比较保守,对于可以定期复诊的可以延缓。口服药物意义不大
    评论
  • 眼科    主治医师
    河西学院附属张掖人民医院
    2023-05-04 18:16
    优质话题,参与讨论得积分!
    转换治疗有点晚了吧,需要早期转换,一般3-6针转换,是否效果会更好!
    回复
  • 眼科    副主任医师/副教授
    新乡市第一人民医院
    2023-06-26 13:00
    康柏西普效果很好你
    评论
  • 皮肤病综合科    副主任医师/副教授
    抚顺市中心医院
    2023-05-10 09:09
    康柏西普是抗VEGF的药物,主要治疗原理是抑制视网膜的新生血管。新生血管主要是能引起出血或者是炎症水肿液的渗出,从而会引起黄斑水肿。康柏西普抑制新生血管的生长,从而可以间接的缓解黄斑区的水肿。
    回复
  • 中医科    护士
    中医院
    2023-05-12 08:59
    互相交流
    评论
  • 眼底外    主任医师/教授
    济宁医学院附属医院
    2023-04-22 16:15
    康柏西普注射液治疗CME能够快速起效,长久起效,疗效确切,针对其他药物效果不好的病例仍有良好效果,可以作为治疗CME的首选药物。
    回复
  • 眼科    医师
    锦州医科大附属第一医院
    2023-05-09 16:04
    评论
  • 眼科    主治医师
    衡水爱尔眼科医院
    2023-04-19 19:48
    糖尿病患者合并中央静脉阻塞,更易黄斑水肿,治疗周期会更长。实际工作中甚至比此患者打针次数更多,这个患者最终视力是好的,但是实际工作中很多治疗过程视力是下降的,于水肿,损害椭圆体带有关系。治疗首选康柏西普,高效,持久,融蛋白类药物,支持国产
    回复
  • 眼科    主治医师
    解放军总医院(三零一医院)
    2023-05-10 13:52
    支持康柏西普
    评论
  • 眼科    主治医师
    漯河市第一人民医院
    2023-04-19 19:09
    康柏西普多靶点,起效快,不仅对静脉阻塞病人有效,临床上对治疗糖尿病性黄斑水肿及对玻璃体积血病人促进积血吸收效果显著。
    回复
  •     
    2023-04-20 14:37
    依据病人情况,实施综合治理方案
    评论
  • 眼科    副主任医师/副教授
    曲靖爱尔眼科医院
    2024-04-22 20:54
    这个病例,患者病情复杂,前期治疗效果不好,患者视力差,严重影响生活,通过综合治疗,病情得到很好控制,治疗效果很好,受益匪浅。
    回复
  • 眼科    主治医师
    河西学院附属张掖人民医院
    2023-06-27 18:31
    转换治疗效果较好,对于出血较多,基线视力较差的患者,可以优选有独特结构的康柏西普,视力获益能更佳!
    回复
-------加载更多留言(138条) ▽-------
优秀留言赢惊喜

针对该病例,您是否有疑问需专家解答?

在您应用康柏西普(朗沐®)过程中,有什么感悟或疑惑的地方?

欢迎在末尾留言处留言或提问!

留下您的疑问赶快参与吧!

优秀留言(50字以上)有机会获得惊喜!

错过末尾留言可重新点击病例留言处参与!

已输入0
X